Spontan pnömotoraks Sağlık bilgileri

Spontan pnömotoraks

Tahmini okuma süresi: 2 dakika

Spontan pnömotoraksm veya ciğer sönmesinin belirtileri nelerdir ? Anî ve çarpıcı olarak gelen göğüste sancı, nefes tıkanıklığı, bazen ciddî şok ve bayılma. Doktor spontan pnömotoraks teşhisini nasıl ...

Spontan pnömotoraksm veya ciğer sönmesinin belirtileri nelerdir ?
Anî ve çarpıcı olarak gelen göğüste sancı, nefes tıkanıklığı, bazen ciddî şok ve bayılma.

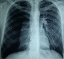
Doktor spontan pnömotoraks teşhisini nasıl yapar ?
a.Hastalığın başlangıçtaki belirtilerini göz önünde bulundurarak.
b.Göğsü dinleyerek, bir tarafta soluk alışının eksik olduğunu tesbit ederek.
c.Göğüse parmağıyla hafifçe vurarak, «perküsyon» ses yankısının önemli şekilde artış gösterdiğini tesbit ederek.”
d.Röntgen filmi çektirilip, ciğerin söndüğü sonucuna vararak.

Spontan pnömotoraksm tedavi usulü nedir ?
Büyük şok ve belirtilerin çok ciddî olması halinde, hastanın derhal hastaneye kaldırılması gereklidir. Eğer ciğerdeki çöküntü oranı % 25-30′dan fazlaysa veya göğüs boşluğuna hava akımı yapan ci­ğerdeki delik kapatılamazsa ve bu, bir «basınçlı pnömotoraks» a se­bebiyet verebilecekse o zaman göğüs boşluğundan bir tüp sokul­ması gerekecektir. Bu tüp yoluyla hava alınacak ve ciğerin yeni­den genişlemesi temin edilecektir. Bazı hallerde göğüs boşluğunun açılması ve ciğerin hasar görmüş kısmının alınması gerekecektir.

Spontan pnömotoraks başka hangi sebeplerden ileri gelebilir ?
Bir bıçak yarası, kurşun veya patlama sonucu vücuda giren bir ci­simle göğüs duvarında bir delinme olmuşsa. Ayrıca kırılan bir kaburga kemiği de ciğeri delebilir ve ciğerden, ciğeri çevreleyen gö­ğüs boşluğuna hava çıkmasına yol açabilir. Bu halde ciğer yine çö­küntü gösterecektir.

Ciğer çöküntüsü (sönmesi) öldürücü nitelikte olabilir mi ?
Yalnız bir tarafta olursa hayır. Ancak bazı patlamalarda veya kur­şunla yaralanmalarda iki ciğerin de sönmesi meydana gelebilir ve böyle bir durum ölüme neden olabilir.

Bu haberi nasıl buldunuz?

#Kışın hasta olmamak için devamlı vitamin hapları kullanıyor musunuz?

Oy kullanarak KVKK / Gizlilik Politikası'nı kabul etmiş sayılırsınız. Kişisel verileriniz işlenmemekte, yalnızca IP adresiniz tekrar oy kullanımını önlemek amacıyla geçici olarak saklanmaktadır.

Yorum Yap