Diş eti iltihabı Sağlık bilgileri

Diş eti iltihabı

Tahmini okuma süresi: 1 dakika

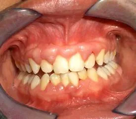
Diş eti iltihabı, diş etleri ve dişlerin bulunduğu kemik üzerinde meydana gelen, dişler üzerinde zamanla olu­şan bakterilerin meydana getirdiği rahatsızlıktır. Bu iltihaplanma hemen kendini belli etmez ...

Diş eti iltihabı, diş etleri ve dişlerin bulunduğu kemik üzerinde meydana gelen, dişler üzerinde zamanla olu­şan bakterilerin meydana getirdiği rahatsızlıktır.

Bu iltihaplanma hemen kendini belli etmez ancak za­manla hafif kızararak ortaya çıkar. Ya da ağız kokusu, sallanan dişler, diş eti kanamsı şeklinde de kendisini gösterir.

Kullanılan malzemeler:
Mürsafi
Şap
Hazırlanışı:
Bütün malzemelerden birer tatlı kaşığı alınarak bir kaba konur. İyice ezildikten sonra fırça yardımı ile dişle­re sürülür.

Kullanılan malzemeler:
Böğürtlen Yaprağı
Hünnap
Mercimek
Sinirli Yaprak Otu
Su
Hazırlanışı:
Bütün malzemelerden birer çay bardağı alınarak bir kaba konur. Yeteri kadar su eklenerek kaynatılır. Soğu­tulduktan sonra gargara yapılır.

Bu haberi nasıl buldunuz?

#Kışın hasta olmamak için devamlı vitamin hapları kullanıyor musunuz?

Oy kullanarak KVKK / Gizlilik Politikası'nı kabul etmiş sayılırsınız. Kişisel verileriniz işlenmemekte, yalnızca IP adresiniz tekrar oy kullanımını önlemek amacıyla geçici olarak saklanmaktadır.

Yorum Yap