Diş apsesi Sağlık bilgileri

Diş apsesi

Tahmini okuma süresi: 1 dakika

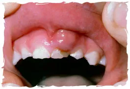
Dişteki çürüme sonucu ortaya çıkan bakteriler dişin kökünde enfeksiyona yol açar. Bu enfeksiyonda kendi­sini şişme şeklinde gösterir. Bu enfeksiyonda diş üzerin­de ağrı yapar. Şayet bu enfeksiyon ...

Dişteki çürüme sonucu ortaya çıkan bakteriler dişin kökünde enfeksiyona yol açar. Bu enfeksiyonda kendi­sini şişme şeklinde gösterir. Bu enfeksiyonda diş üzerin­de ağrı yapar.

Şayet bu enfeksiyon kemiğe ulaşırsa dişin çekilmesi ya da tedavi edilmesi gerekir. Bu diş çekilmezse ya da tedavi edilmezse bu enfeksiyon kemiğe de zarar vere­cektir.

Şayet diş üzerinde ağrı ve zonklama varsa ve bir şey­ler çiğnerken ya da soğuk veya sıcak bir şeyler değince ağrı yapıyorsa dişte bir apse olma olanağı vardır. Şayet bundan şüphe duyuluyorsa hemen bir doktora başvur­makta çare vardır. Bunları engellemek için ise dişler sık­ça fırçalanmalıdır.

Kullanılan malzemeler:
Karanfil
Su
Hazırlanışı:
Bir tutam karanfil alınarak bir kaba konur. İyice ezile­rek toz haline getirir. Yeteri kadar su eklenerek macun kıvamına geldiğinde diş etlerine sürülür.

Bu haberi nasıl buldunuz?

#Kışın hasta olmamak için devamlı vitamin hapları kullanıyor musunuz?

Oy kullanarak KVKK / Gizlilik Politikası'nı kabul etmiş sayılırsınız. Kişisel verileriniz işlenmemekte, yalnızca IP adresiniz tekrar oy kullanımını önlemek amacıyla geçici olarak saklanmaktadır.

Yorum Yap